
초록: 2025 년 5 월에 발표 된 고품질 연구에서 인민 해방군 해군 의과 대학 영양학과 연구팀은 루시 페라 제 리포터 모델을 사용하여 miR-122 활동을 "모니터링" 하는 새로운 "스크리닝 시스템" 을 설계했습니다., miR-122 위해 "신호 등" 을 설치하는 것과 비슷합니다. 화합물이 miR-122 활성을 향상시킬 때, "신호등" 은 밝아진다. 그 후, 그들은 2,543 개의 천연 화합물에 대한 대규모 고처리량 스크리닝을 수행하여 miR-122 대한 "이상적인 파트너" 를 효과적으로 검색했습니다.
엄격한 스크리닝 후, 디 하이드로 베베린은 2,543 개의 천연 화합물 중에서 뛰어난 후보로 부상했습니다. miR-122 수준을 크게 상향화 할뿐만 아니라 세포 독성을 나타내지 않아 효능과 안전성을 모두 보여줍니다.
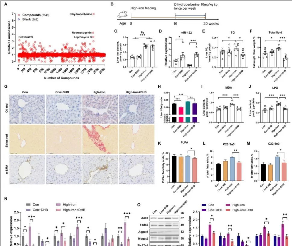
고 철분 다이어트로 인한 MASLD (Metabolic Dysunction-Associated Steatotic Liver Disease) 마우스 모델에서 디 하이드로 베린은 놀라운 간 보호 효과를 보여주었습니다.
MiR-122 수준 복원: 철분 과부하로 인한 miR-122 감소를 되돌리고 간의 "조절기" 를 효과적으로 재 활성화합니다.
지질 대사 개선: 간 트리글리세리드 및 총 지방 함량을 감소시켜 눈에 띄게 "깨끗한" 간을 유도합니다 (오일 레드 O 염색에 의해 입증 됨).
산화 손상 방지: 지질 과산화 마커 (예: MDA, LPO) 의 수준을 낮추어 간세포 막을 분해로부터 보호합니다.
간 손상 및 섬유증을 완화합니다: ALT 및 AST (주요 간 손상 마커) 를 현저하게 감소시키고 간 섬유증 진행을 완화합니다.

도 D: miR-122 조절-철 과부하로 인해 miR-122 발현이 급격히 감소한 반면 DHB 처리는 거의 정상 수준으로 회복되었습니다.
E-H 수치: 지질 대사 개선-철 과부하로 인한 간 트리글리세리드 및 총 지질 축적이 DHB 투여 후 감소되었다.
I-J 수치: 산화 손상 완화-철 과부하 증가 산화 생성물 (MDA, LPO 등), DHB 처리는 이들 마커를 상당히 감소시켰다.
K-M 수치: 지방산 균형 회복-DHB 처리는 철 과부하로 인한 다중 불포화 지방산의 조절 장애를 역전시키고 유익한 지방산 비율을 회복시켰다.
N-O 수치: 단백질 조절-철 과부하는 DHB 개입에 의해 정규화된 지질생성-관련 단백질의 발현을 방해하였다.
스크리닝 된 2,543 가지 화합물 중 디 하이드로 베베린 (DHB) 은 우연이 아니라 임상 번역의 중요한 토대 인 가장 강력한 miR-122 상향 조절과 완벽한 세포 생체 적합성을 입증함으로써 눈에 띄었습니다.
철 과부하는 정의 된 캐스케이드를 통해 간을 손상시킵니다.
철분 과부하 → miR-122 충돌 → 조절되지 않는 지성 단백질 → 지질 축적 산화 스트레스 → 간 질환 악화.
DHB는 다음과 같은 악순환을 방해합니다.
DHB 보충 → miR-122 회수 → 지질 생성 단백질 억제 → 지질 침착 완화 산화 손상 감소 → 간 "냉각".
이 연구는 DHB:
지방 생성 및 산화를 구동하는 해로운 유전자 (예: Aacs, Fads2, CYP) 를 침묵시키는 miR-122 Upregulate
근본적으로 "철 과부하 → 대사 기능 장애" 피드백 루프를 끊습니다.
철분 과부하 및 MASLD로 고통받는 인구를위한 이중 작용 (대사 조절 및 간 보호) 을 제공합니다.
철분과 miR-122 상승 적으로 간을 해치는 방법을 설명하는 것부터 체계적인 sc를 통해 DHB를 식별하는 것까지이 연구는 MASLD 개입을위한 유망한 치료 방법을 조명합니다.
참조:
Yuxiao Tang 1, Zelong Gao et al. MASLD에서 지질 축적과 과산화를 구하기 위해 철 과부하와 miR-122 시너지 작용을 끊습니다. Pharmacol Res. 5 월 2025: 215:107728.